多学科协作
勇闯生命“禁区”
让复杂鼻咽颅底坏死患者重获新生
当放射性鼻咽颅底骨坏死叠加颈内动脉破裂出血、重度狭窄,再遇上高血压、糖尿病、冠心病、慢性粒细胞白血病、结肠癌等多重病史,这样的病例堪称医学领域的“生命禁区”。2025 年底,这位辗转国内多家大型医院的危重患者,最终在天津市环湖医院耳鼻咽喉头颈外科、神经外科、血管外科等多学科团队的精密协作与不懈努力下,通过高难度介入手术与二期复杂的经鼻内镜颅底手术重获新生。而支撑这场生命奇迹的核心,正是环湖医院多学科协作的深度融合。
罕见重症,命悬一线
转诊至环湖医院之前,患者因放射性鼻咽颅底坏死导致了致命的并发症——左侧颈内动脉破裂出血,同时右侧颈内动脉也存在重度狭窄。已在外院接受了左侧颈内动脉的覆膜支架植入止血,在ICU抢救治疗生命体征稍平稳,但状况依然危急,依靠芬太尼镇痛,身体极度消瘦,重度贫血,低蛋白血症,坏死病灶没有清除随时有再次严重出血风险。根据文献和临床病例判断,如果不接受病变切除和颅底修复治疗,绝大多数患者可能因颅底大血管破裂出血面临生命危险。


外院CTA检查:左侧颈内动脉破裂孔段假性动脉瘤形成,右侧颈内动脉起始部重度狭窄
迎难而上,精准研判
由于天津市环湖医院在复发性鼻咽癌和鼻咽颅底坏死相关疾病方面有相关技术优势和成功病例,患者被推荐找到我院佟小光院长。佟院长了解情况后非常重视,尽快让患者入住眼耳鼻咽喉头颈外科中心病房,并迅速组织眼耳鼻咽喉头颈外科、神经外科、脑血管外科、颅底外科中心、头颈神经肿瘤中心、影像科等多学科会诊。血管外科尚彦国主任为患者复查了脑血管造影,发现之前植入的覆膜支架近心端竟再次形成了假性动脉瘤,这个假性动脉瘤是一颗“不定时*”,随时可能再次破裂导致严重的口鼻出血,而患者目前的状态如果再出血几乎没有抢救成功的机会,同时右侧颈内动脉的重度狭窄也严重影响患者的脑供血,贫血加上脑缺血很有可能造成大面积脑梗塞,也有致残或致死的风险。
面对如此棘手的局面,颅底外科中心组织了全院病例讨论,耳鼻咽喉头颈外科、颅底外科、神经外科、血管外科、影像科、肿瘤科等各专业术20多位主任医师进行了紧急讨论。佟小光院长带领的血管外科团队果断决策,患者颈内动脉长程受到破坏接受开颅高流量搭桥手术应是最优选择,但是患者身体状态差而且经前期抢救后心理状态差惧怕搭桥手术,可以选择局麻微创血管内介入治疗,这样能为患者赢得宝贵的时间获得二期病变切除和颅底修复的机会。经过充分准备,环湖医院王红光副院长和复合脑血管外科尚彦国主任联手为患者在局麻状态进行了左侧颈内动脉破裂处第二枚覆膜支架的植入,将破裂点彻底封堵,同时在右侧重度狭窄的颈内动脉植入了扩张支架,这样既避免了再次出血的风险也保证了患者颅内的供血,为后续根治手术创造了至关重要的前提条件。

我院CTA检查:左侧颈内动脉覆膜支架术后,假性动脉瘤消失

内镜检查:双侧咽隐窝区域坏死及肉芽样组织,表面覆盖脓性分泌物


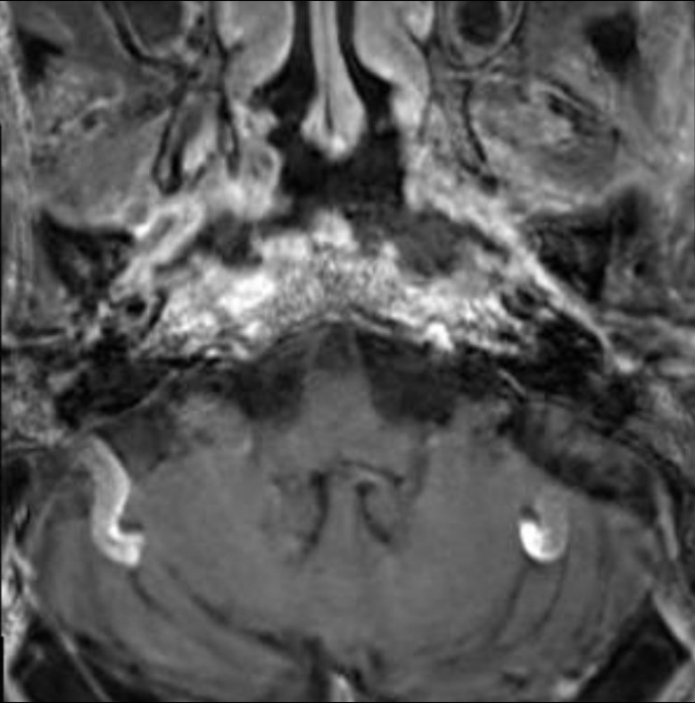
MRI检查:全组鼻窦炎,双侧咽鼓管区、咽旁间隙、斜坡区域异常信号,不均匀强化,双侧乳突炎


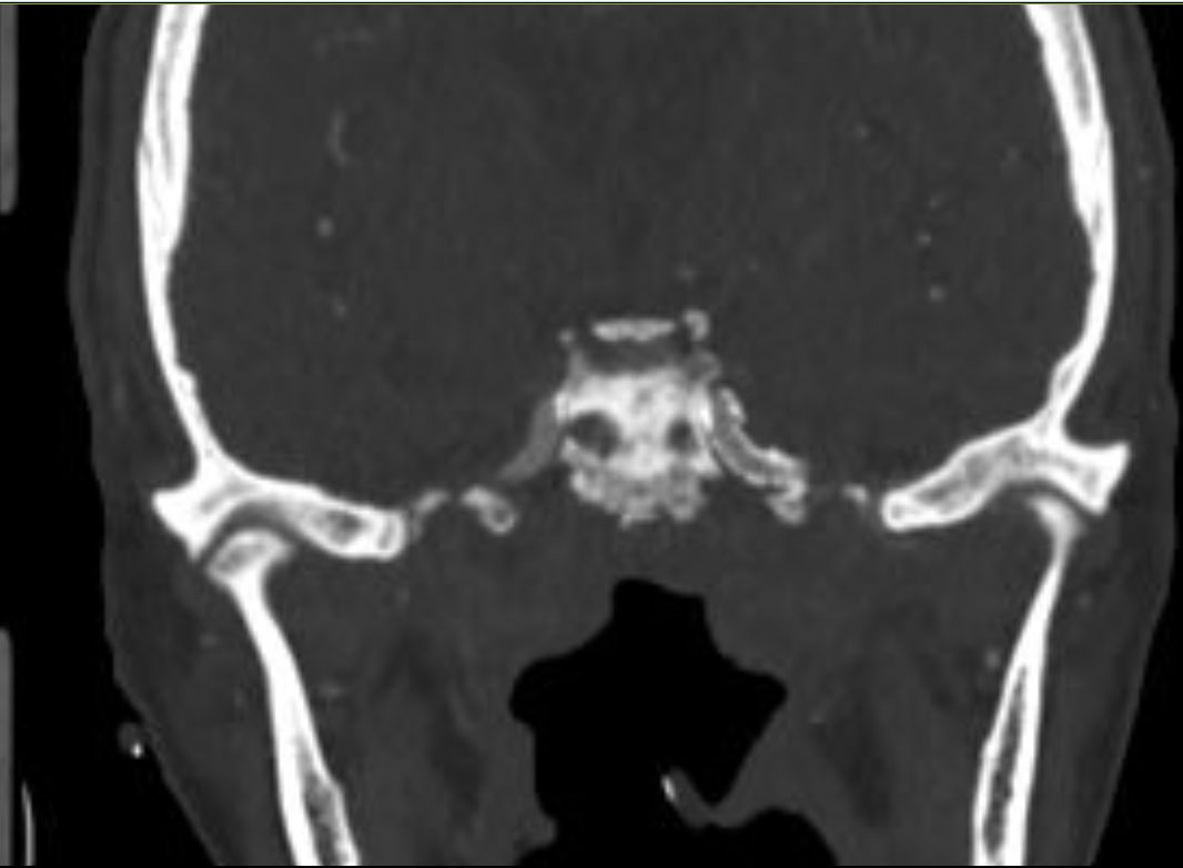
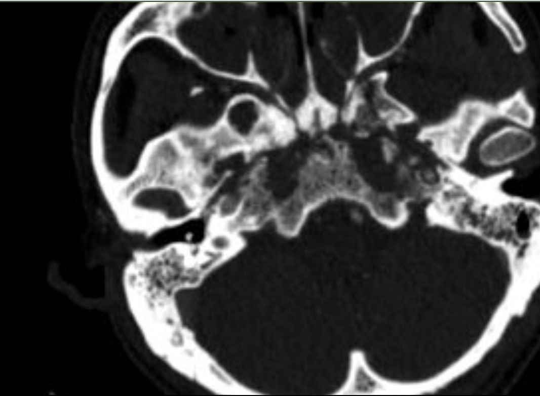
CTA:双侧岩骨、斜坡、翼突骨质破坏
患者的复杂基础疾病是横亘在根治手术前的又一道鸿沟。为此,内镜颅底外科中心刘钢主任安排了更高级别的多学科会诊(MDT),邀请了天津市多家医院的血液科、心内科、临床营养科、麻醉科、肿瘤科、感染科等众多科室的权威专家进行全市会诊。专家们围绕患者的凝血功能(尤其在双抗治疗下)、心脏耐受能力、营养状态、感染风险等展开了深入细致的评估与优化调整。最终,专家团队一致认为,经过精心调理,患者已无绝对手术禁忌,为最终挺进手术室扫清了障碍。
默契配合,一击制胜
在充分准备后,佟小光院长和刘钢教授带领耳鼻喉科、颅底外科和头颈外科骨干组成的手术团队与陈君主任带领的麻醉团队密切配合,在复合手术室中为患者实施了复杂的经鼻内镜颅底坏死骨清除术。眼耳鼻咽喉头颈外科中心主任翟翔主任、副主任医师李海艳、内镜颅底外科中心副主任医师张彬彬组成的团队利用高清内镜,通过自然的鼻腔通道,在保证重要神经和血管安全的同时精准地清除了颅底坏死的病灶,为解决术后组织缺损和促进愈合,团队利用双侧颞肌进行了颅底修复重建,并进行了预防性的气管切开,全力保障呼吸道安全。整个手术过程如履薄冰,却又有条不紊,展现了团队高超的技艺和默契的配合。


术前DSA:右侧颈内动脉起始段重度狭窄,左侧颈内动脉岩骨段假性动脉瘤形成


术后DSA:右侧颈内动脉支架后通畅,左侧颈内动脉岩骨段覆膜支架后假性动脉瘤消失
精心护航,重获新生
经过10个多小时的手术后,患者安全转入眼耳鼻咽喉头颈外科中心重症观察室,医疗团队给予了抗感染、营养支持、精细化液体管理等全方位的治疗。在鼻颅底外科护理团队持续关爱与严密监测下,患者平稳度过了危险期,感染得到控制,营养状况改善,伤口愈合良好。最终,这位曾经命悬一线的老人,顺利拔除了气管套管和各种引流管,恢复了正常饮食与活动,脸上重现笑容,康复出院。
此次高难度病例的成功救治,是天津市环湖医院颅底外科坚持“以患者为中心”、发挥多学科协作(MDT)综合诊疗优势的典型案例。对于这类涉及颅底、血管、基础病等多系统的疑难危重患者,多学科协作不是 “可选项”,而是 “必选项”,也是环湖医院破解此次诊疗难题的根本密钥。
手术的成功,不仅是一次对生命极限的挑战,也彰显了敢于担当的医者仁心,标志着医院在复杂颅底疾病与血管疾病联合诊治领域达到了国内先进水平,为更多疑难危重患者带来了生的希望。

